Τηλέφωνο

210 7472720

Βασ. Σοφίας 110

Αθήνα

Ιατρικό Κέντρο

Μαρούσι

Ενδεικτικά Περιστατικά Βάσης Κρανίου

Βάση Κρανίου

Σύρετε το βέλος αριστερά και δεξιά για να δείτε το πριν και το μετά της κάθε επέμβασης

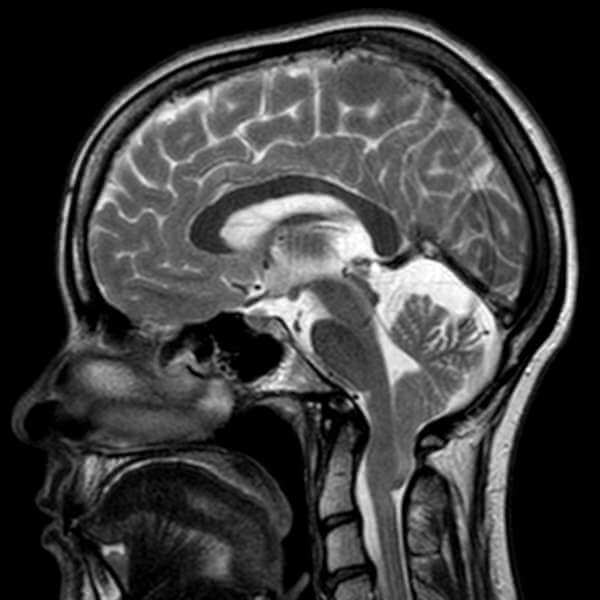
Chiari Τύπου Ι

Γυναίκα ασθενής 31 ετών, με ιστορικό πονοκεφάλων από πολλών ετών, με προοδευτική επιδείνωση της συμπτωματολογίας και επιπλέον ίλιγγο με δυσκαταποσία και αστάθεια βάδισης. Στο πλαίσιο της διερεύνησης με μαγνητική τομογραφία εγκεφάλου διαπιστώθηκε παρουσία δυσπλασίας Chiari τύπου Ι με εγκολεασμό των αμυγδαλών της παρεγκεφαλίδας και συμπίεση του προμήκη μυελού και του νωτιαίου μυελού στο ύψος της κρανιοαυχενικής συμβολής. Εξαιτίας της συμπτωματολογίας και του προχωρημένου ακτινολογικού ευρήματος τέθηκε η χειρουργική ένδειξη της αποσυμπίεσης του ινιακού τρήματος μέσω μικρής κρανιεκτομής και πεταλεκτομής του πρώτου αυχενικού σπονδύλου, μερική αφαίρεση των αμυγδάλων, λύση των χρόνιων αραχνοειδικών συμφύσεων και μηνιγγοπλαστική. Η επέμβαση διενεργήθηκε υπό ολική νάρκωση, χωρίς επιπλοκές, και η ασθενής μετά από 4ήμερη νοσηλεία πήρε εξιτήριο. Τα συμπτώματα παρουσίασαν ταχεία βελτίωση. Η μετεγχειρητική μαγνητική δείχνει πλήρη αποσυμπίεση των νευρικών δομών με παρουσία ικανού υπαραχνοειδούς χώρου γύρω από το μυελό.

M. Cushing από μικροαδένωμα υπόφυσης

Γυναίκα ασθενής 28 ετών στην οποία, στο πλαίσιο της ενδοκρινολογικής διερεύνησης για απόκτηση παιδιού διαπιστώθηκε υπερκορτιζολαιμία και στη συνέχεια τέθηκε η διάγνωση της Νόσου Cushing με μικροαδένωμα της υπόφυσης. Συστήθηκε χειρουργείο και διενεργήθηκε μικροχειρουργική διασφηνοειδική εκλεκτική αδενωμεκτομή και το αδένωμα αφαιρέθηκε με εξωκαψική παρασκευή πλήρως. Η ασθενής θεραπεύθηκε από τη νόσο Cushing και 2 χρόνια μετά είχε αποκτήσει παιδί. Στις εικόνες είναι εμφανές προεγχειρητικά ένα μικροαδένωμα αριστερά στο εφίππιο και στη μετεγχειρητική μαγνητική στους 3 και 12 μήνες φαίνεται στην ίδια θέση το έλλειμμα (μαύρο-κενό) από την εκλεκτική αδενωμεκτομή ενώ η υπόλοιπη υπόφυση είναι διατηρημένη. Η τεχνική της εξωκαψικής παρασκευής του αδενώματος επιτρέπει την ολική αφαίρεση των αδενωμάτων με πολύ καλά αποτελέσματα ειδικά σε όγκους που τείνουν να υποτροπιάζουν όπως τα ACTH-εκκριτικά αδενώματα στη Νόσο Cushing.

Αδένωμα αυξητικής ορμόνης

Γυναίκα ασθενής 62 ετών με τυπική κλινική εικόνα ακρομεγαλίας παραπέμφθηκε για μαγνητική τομογραφία υπόφυσης-εφιππίου όπου διαπιστώθηκε ένα αδένωμα της υπόφυσης δεξιά ενδο- και υποεφιππιακά. Ο ορμονικός έλεγχος έδειξε και εργαστηριακά την παρουσία υπερέκκρισης αυξητικής ορμόνης από την υπόφυση και συστήθηκε διασφηνοειδική εκλεκτική αδενωμεκτομή. Η επέμβαση διενεργήθηκε μικροχειρουργικά και δεν παρουσιάστηκαν επιπλοκές. Η ασθενής πήρε προγραμματισμένα εξιτήριο και ο εργαστηριακός έλεγχος έδειξε πλήρη εργαστηριακή ύφεση της νόσου. Η μαγνητική τομογραφία επανελέγχου δείχνει πλήρη αφαίρεση του όγκου, χωρίς στοιχεία επιπλοκών.

Αιθουσαίο σβάννωμα (ακουστικό νευρίνωμα)

Άνδρας ασθενής 42 ετών με ιστορικό εμβολών και επαναλαμβανόμενα επεισόδια προσωρινής απώλειας ακοής αριστερά, διαγνώστηκε με αιθουσαίο σβάννωμα (ακουστικό νευρίνωμα) αριστερά σε μαγνητική τομογραφία που διενεργήθηκε για τη διερεύνηση των συμπτωμάτων του. Ο όγκος είχε μέγεθος περίπου 2 x 2,5 cm και σημαντικό τμήμα εντός του έσω ακουστικού πόρου, ενώ είχε επαφή με το στέλεχος του εγκεφάλου επί του οποίου ασκούσε πίεση. Το μέγεθος του όγκου επέτρεπε και την ραδιοχειρουργική αντιμετώπιση, ο ασθενής όμως επιθυμούσε τη χειρουργική θεραπεία και έτσι διενεργήθηκε μια αριστερή οπισθοσιγμοειδική κρανιοτομία με χρήση νευροπαρακολούθησης και με μικροχειροργική τεχνική αφαιρέθηκε πλήρως ο όγκος, ενώ διατηρήθηκε το προσωπικό και ακουστικό νεύρο αριστερά. Μετεγχειρητικά δεν εμφανίστηκε πάρεση προσωπικού, η ακοή παρουσίασε παροδική επιδείνωση από το αριστερό αυτί, αλλά παρέμεινε λειτουργική. Η μαγνητική τομογραφία επανελέγχου δείχνει πέρα από μικρή λήψη σκιαγραφικού στο πλαίσιο της μετεγχειρητική ουλής, πλήρη εξαίρεση του όγκου, χωρίς υπόλειμμα.

Επιδερμοειδής όγκος

Άνδρας ασθενής 37 ετών με ιστορικό υποτροπιάζουσας, εμμένουσας κεφαλαλγίας και αυχεναλγίας δεξιά, υποβλήθηκε σε μαγνητική τομογραφία εγκεφάλου που ανέδειξε έναν μεγάλο επιδερμοειδή όγκο στη δεξιά γεφυροπαρεγκεφαλιδική γωνία με έντονη πίεση και παρεκτόπιση του στελέχους και της γέφυρας του εγκεφάλου. Στον κλινικό έλεγχο δεν αναδείχθηκαν νευρολογικά ελλείμματα πέραν μιας μικρής αστάθειας βάδισης που ο ίδιος ο ασθενής δεν είχε παρατηρήσει. Συστήθηκε αφαίρεση του όγκου εξαιτίας των πιεστικών φαινομένων και της κεφαλαλγίας. Διενεργήθηκε οπισθοσιγμοειδική κρανιοτομία δεξιά με χρήση νευροπαρακολούθησης για τα κρανιακά νεύρα και τις πυραμιδικές οδούς, και ο όγκος αφαιρέθηκε πλήρως με μικροχειρουργικές τεχνικές. Δεν παρουσιάστηκαν επιπλοκές, ο ασθενής πήρε εξιτήριο προγραμματισμένα και η μαγνητική τομογραφία επανελέγχου έδειξε πλήρη αφαίρεση του όγκου και αποσυμπίεση του εγκεφαλικού στελέχους.

Μη εκκριτικό μακροαδένωμα

Γυναίκα ασθενής 62 ετών με διαταραχές από την όραση (μείωση οπτικής οξύτητας και περιορισμό των οπτικών πεδίων) υποβλήθηκε σε μαγνητική τομογραφία εγκεφάλου που ανέδειξε ένα μακροαδένωμα της υπόφυσης (2,5 εκ σε διάμετρο). Στον ενδοκρινολογική έλεγχο που ακολούθησε διαπιστώθηκε συνοδός υπερπρολακτιναιμία και ανεπάρκεια του φλοιοεπινεφριδιακού άξονα. Συστήθηκε χειρουργική αφαίρεση και διενεργήθηκε διασφηνοειδική εκλεκτική αδενωμεκτομή με χρήση νευροπλοήγησης και ο όγκος αφαιρέθηκε πλήρως. Η όραση της ασθενούς αποκαταστάθηκε πλήρως, η λειτουργία του φλοιοεπινεφριδιακού άξονα επανήλθε μετά από ένα περίπου έτος. Στη μετεγχειρητική μαγνητική διακρίνεται η αποσυμπίεση του οπτικού χάσματος, η διατήρηση του αδένα της υπόφυσης και ήπιες μετεγχειρητικές αλλοιώσεις στο σφηνοειδή κόλπο από το υλικό πλαστικής αποκατάστασης του εδάφους του εφιππίου στη βάση του κρανίου.

Μηνιγγίωμα της οσφρητικής αύλακας

Γυναίκα ασθενής 49 ετών εμφάνισε συγκοπτικό επεισόδιο και προσκομίστηκε στα επείγοντα περιστατικά. Στη διενεργηθείσα αρχικά αξονική και στην συνέχεια μαγνητική τομογραφία εγκεφάλου αναδείχθηκε ένα μηνιγγίωμα της οσφρητικής αύλακας με διαστάσεις 3 x 3 cm. Η ασθενής ενημερώθηκε λεπτομερώς για τη διάγνωση, την πρόγνωση και την πορεία νόσου και τις διάφορες εναλλακτικές αντιμετώπισης, και μετά από σκέψη αποφάσισε να υποβληθεί σε χειρουργική αφαίρεση. Διενεργήθηκε μίνι-πτεριονική κρανιοτομή και μικροχειρουργική αφαίρεση του όγκου με πλαστική αποκατάσταση της μήνιγγας στη βάση του κρανίου, ενώ κατέστη δυνατή η διατήρηση του ενός οσφρητικού νεύρου για τη διατήρηση της όσφρησης της ασθενούς. Δεν υπήρξαν περιεγχειρητικές επιπλοκές και η ασθενής πήρε προγραμματισμένα εξιτήριο την 4η μέρα. Η μαγνητική τομογραφία επανελέγχου έδειξε ολική αφαίρεση του όγκου και μικρή λήψη σκιαγραφικού στη βάση του κρανίου από το υλικό της μηνιγγοπλαστικής.

Μηνιγγίωμα του λιθοειδούς

Γυναίκα ασθενής 66 ετών με ιστορικό κεφαλαλγίας και αστάθειας βάδισης και από λίγων ημερών παρουσία ζάλης και εμέτου, υποβλήθηκε αρχικά σε αξονική και στη συνέχεια σε μαγνητική τομογραφία εγκεφάλου που ανέδειξαν μια μεγάλη (περίπου 4 x 5cm) εξεργασία στον οπίσθιο εγκεφαλικό βόθρο με έντονη, ομοιογενή λήψη σκιαγραφικού και επαφή με το λιθοειδές οστό και σημαντικά πιεστικά φαινόμενα των νευρικών δομών τοπικά. Εξαιτίας του μεγέθους του όγκου συστήθηκε χειρουργική εξαίρεση. Διενεργήθηκε δεξιά υπινιακή, οπισθοσιγμοειδική κρανιεκτομή και μικροχειρουργική ολική αφαίρεση του όγκου με τη χρήση νευροπαρακολούθησης, μηνιγγοπλαστική και κρανιοπλαστική τοπικά. Η ασθενής παρουσίασε άμεση βελτίωση των συμπτωμάτων της και πήρε προγραμματισμένα εξιτήριο την 4η μέρα, χωρίς να παρουσιαστούν επιπλοκές. Η μετεγχειρητική μαγνητική τομογραφία επανελέγχου έδειξε πλήρη αφαίρεση του όγκου.

Neurosurgeon Αthens
Επισκόπηση απορρήτου

Αυτός ο ιστότοπος χρησιμοποιεί cookies για να σας παρέχουμε την καλύτερη δυνατή εμπειρία χρήστη. Οι πληροφορίες των cookies αποθηκεύονται στο πρόγραμμα περιήγησής σας και εκτελούν λειτουργίες όπως η αναγνώρισή σας όταν επιστρέφετε στον ιστότοπό μας και βοηθώντας την ομάδα μας να καταλάβει ποια τμήματα του ιστότοπου μας θεωρείτε πιο ενδιαφέροντα και χρήσιμα.